Braces are one of easiest and most cost effective ways of improving your smile. With relatively short treatment times of on average 6 months and the introduction of discrete ceramic braces more and more people (even celebrities) are opting to wear braces and it is becoming more acceptable for adults to be seen wearing them. There are however still some situations when people want them to be completely hidden. If you fall into this category then lingual braces may be the ideal option for you.
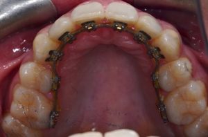
Lingual braces are placed are placed on the inner surface of your teeth and so are completely invisible when you smile and talk. They can irritate your tongue slightly for a week or so after having them fitted and they can feel strange to bite on but this quickly settles in. The best part is that you are able to look in the mirror every morning and see your teeth becoming straighter and straighter without anything visible on your teeth.
If you would like further information then please contact us for an orthodontic consultation with Hassan Ali on 0141 641 2107.

