Rebuild your confidence with dental implants

  • 0% finance up to 24 months*
  • Free consultations
  • Experienced implantologist
Smiling lady with nice teeth

Unsure if implants are right for you? Get free advice today!

Please select your preferred location
On submitting this form you agree to Complete Dental Care collecting your personal data. To learn more about how we collect, use, share and protect your personal data, please read our privacy policy.

Explore our range of dental implants

Dental implants from just £91 per month

We are pleased to offer finance options to spread the cost of your dental implants, including 0% interest finance over 24 months. Terms and conditions apply*

*(Depending on deposit amount and finance term agreed).

Your questions, answered

There are other options available for teeth replacement, including bridges and dentures. However, neither of these offer the same strength, durability, and aesthetic appeal as tooth implants. By fusing to the jawbone, implants create the next best thing to a natural tooth root, removing any potential eating or speech issues.
Feature image

Why choose dental implants?

A long-lasting solution for a healthier, more confident smile.

  • Restore your smile in just one day
  • Low recovery time
  • Replace a full arch of teeth
  • Enjoy a strong, stable smile
  • Boost your confidence

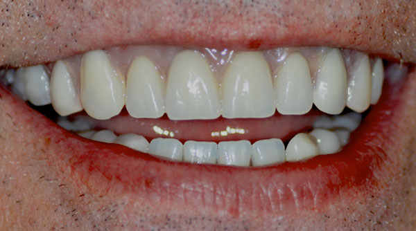
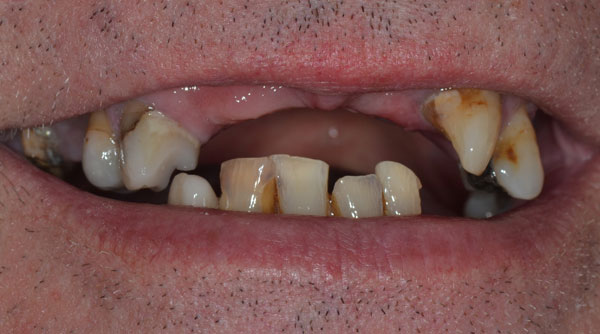
See our amazing results!

Before treatment

Single dental implant with a 2 tooth bridge

I was always unhappy with my front teeth and I am delighted with the results!
Before treatment

Single dental implant with a 2 tooth bridge and tooth whitening

I am very happy with my treatment; it has made such a difference to my smile.

Meet your implantologist, Omar Iqbal

Omar has a keen interest in dental implants and treating anxious patients. He is also very experienced in providing dental sedation which can allow even the most phobic patients to undergo treatment.

Profile image

Over 650 happy patient reviews

See why so many people feel confident choosing us for dental implants

  • Emma

    I had a dental implant fitted by Omar earlier this year and cannot fault him or the team at all.

    Excellent customer service all round, from helping apply for interest free credit, to fitting appointments around me travelling a distance for each one and most importantly Omar reassuring my nerves. He also reassured me they would be there for me should I have any issues in the coming years. I would highly recommend having treatment here.

  • Habtamu

    My experience at complete dental care has been excellent.

    And I want to mention Hassan and the team, they all very caring and professional. Especially Hassan guided me and explained everything with wonderful manners thanks for your hard work. I highly recommend complete dental care.

  • David

    Staff are really friendly and very helpful. I had to get an implant to replace an old crown I had in my upper front tooth.

    Omar was great and really put me at ease. He re-assured me everything that he said would happen did happen. The procedure was totally pain free and time passed by in a flash.

  • Julian

    I had two implants done by Omar. The process was smooth and professionally done.

    There were no hidden fees or extras on top of the advertised price. Overall, I'm very pleased with the outcome.

Fill in your details & we’ll be in touch to book your consultation

Please select your preferred location
On submitting this form you agree to Complete Dental Care collecting your personal data. To learn more about how we collect, use, share and protect your personal data, please read our privacy policy.